È la regina delle gare di atletica, presente nel programma olimpico maschile fin dalla prima edizione del 1896 e in quello femminile dal 1928, capace di suscitare forti emozioni e generare grande attesa: sono i 100 metri piani! Ad oggi gli atleti capaci di scendere sotto la barriera dei 10 secondi sono meno di 200, e tra questi possiamo annoverare tre dei nostri connazionali: Filippo Tortu, Marcell Jacobs e Chituru Ali. Il record olimpico maschile e femminile di questa disciplina sono entrambi detenuti da velocisti jamaicani: Usain Bolt, con il tempo di 9″63, e Elaine Thompson-Herah, che ha fatto registrare 10″61.

Unknown author, Marcell Jacobs and Gianmarco Tamberi, CC BY 3.0
Quando lo starter sancisce l’inizio della gara, il rumore del colpo sparato viaggia nell’aria fino ad arrivare all’orecchio dei velocisti in gara, tra cui i nostri connazionali Marcell Jacobs, Chituru Ali e Zaynab Dosso: il suono viene convogliato verso il timpano, che a sua volta lo trasmette a tre ossicini chiamati martello, incudine e staffa. Da qui le vibrazioni prodotte arrivano alle cellule ciliate presenti nella coclea e provocano il movimento delle loro ciglia. Ciò fa sì che nelle cellule entri potassio, il che a sua volta provoca l’ingresso di calcio; questo evento è per la cellula il segnale di liberare il glutammato, un neurotrasmettitore che dà inizio all’impulso nervoso che arriva fino al sistema nervoso centrale. Questo processo prende il nome di trasduzione meccano-elettrica del suono, proprio perché “decifra” le vibrazioni meccaniche del suono in un segnale elettrico comprensibile per il nostro cervello.
Nella produzione degli impulsi nervosi che viaggiano lungo i neuroni giocano un ruolo fondamentale gli ioni sodio e potassio. Queste molecole, infatti, si trovano in concentrazioni diverse all’interno e all’esterno delle cellule nervose: il sodio è più concentrato all’esterno dei neuroni e il potassio all’interno. Dal momento che ogni molecola ha una carica elettrica positiva o negativa, questa distribuzione differente genera quello che viene chiamato potenziale di membrana: un piccolo eccesso di cariche positive all’esterno della membrana e un piccolo eccesso di cariche negative all’interno. Tuttavia, la membrana cellulare non è solo una barriera che separa la cellula dall’ambiente circostante, è molto di più! Le cellule, infatti, sono in grado di modificare la permeabilità della loro membrana, ossia di far entrare o uscire un numero maggiore o minore di determinate molecole, cambiandone la concentrazione. Le cellule nervose, così facendo, modificano temporaneamente il loro potenziale di membrana; questa capacità, che condividono con le cellule muscolari, gli vale il nome di cellule eccitabili. Il repentino cambio del potenziale di membrana ha così generato l’impulso nervoso, che viaggia lungo i neuroni fino a raggiungere i muscoli di Marcell Jacobs e Filippo Tortu.

Berkshire Community College Bioscience Image Library, Muscle Tissue Cross Section Whole Skeletal Muscle (28089118558), CC0 1.0
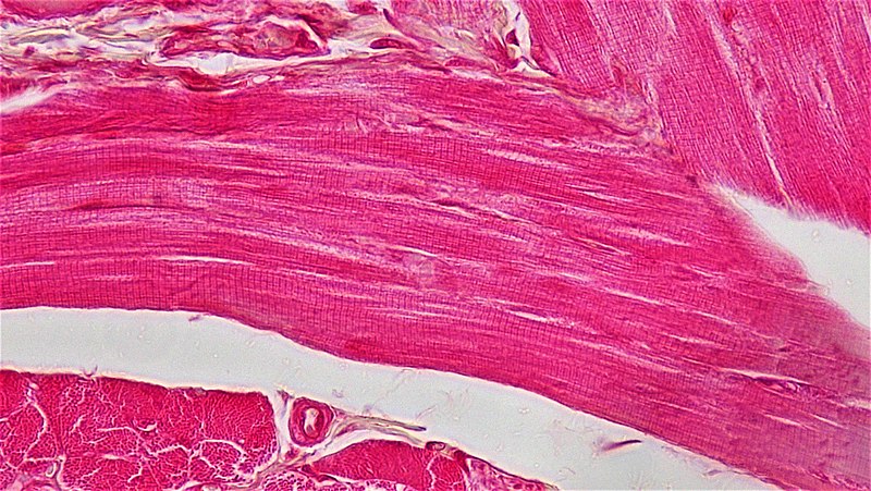
Come succedeva nelle gambe di Hussein Bolt, l’arrivo dell’impulso nervoso provoca il rilascio del neurotrasmettitore acetilcolina anche in quelle di Chituru Ali. Ciò fa sì che il sodio possa entrare all’interno delle membrane cellulari dei muscoli, e questo evento a sua volta provoca il rilascio di calcio. Questo ione si lega a due proteine, la tropomiosina e la troponina, che altrimenti impediscono la contrazione delle fibre muscolari. Una volta che queste proteine vengono bloccate dal calcio, infatti, altre due proteine, chiamate actina e miosina, sono libere di scorrere l’una sull’altra provocando la contrazione del muscolo. Tutta questa sequenza di eventi avviene in tempi rapidissimi, e per i velocisti è fondamentale reagire nel minor tempo possibile; al giorno d’oggi il regolamento dell’atletica leggera stabilisce che tempi di reazione inferiori ai 100 millisecondi non sono fisiologicamente possibili e vengono quindi sanzionati come falsa partenza.

Richard Giles, Usain Bolt Olympics Celebration, CC BY-SA 2.0
Ecco spiegato, in maniera molto semplificata, cosa succede nel corpo di Marcell Jacobs e Filippo Tortu quando sentono lo sparo! Ovviamente ci sono molte altre molecole e processi coinvolti, ma a grandi linee è ciò che succede ogni volta che decidiamo di compiere un qualsiasi movimento. Dopo aver conosciuto gli ioni coinvolti, si capisce meglio perché gli atleti siano molto attenti ad assumere adeguate quantità di sodio, potassio e calcio: una loro carenza interferirebbe con la contrazione muscolare, provocando crampi, formicolii e altri disturbi. Una curiosità riguardante il fondamentale ruolo svolto dall’acetilcolina nel trasmettere l’impulso nervoso ai muscoli viene dai serpenti. Il veleno di alcune specie, come ad esempio il cobra, bloccano i recettori dell’acetilcolina, andando ad impedire la contrazione muscolare e provocando quindi la paralisi.

Vorresti contribuire a sostenere questo progetto?
Se ti piace il sito e vorresti leggere sempre nuovi articoli, un piccolo contributo sarebbe un grande aiuto per continuare a creare contenuti interessanti!
0,99 €
